Tereza Losmanova
Pathologist
About Tereza
Tereza is a Pulmonary Pathologist, Enthusiastic Cytologist, Part-time Researcher, AI Pathology Explorer, Pilot-in-training and Flamenco Dancer.

What is your favorite cell?
Ciliated cell.

What is your most hated cell?
Ciliated cell.

Curriculum Vitae
Long-cycle Master´s Degree in General Medicine (MUDr.)
First Faculty of Medicine, Charles University in Prague, Czech Republic
Duration: 7 years
Erasmus Internship
Faculty of Medicine, UKE Hamburg, Germany
Duration: 5 months
Erasmus Practical Placement
Innsbruck Medical University, Austria
Duration: 5 months
Medical Resident
Pathology at Kantonsspital Winterthur, Switzerland
Duration: 3 years
Medical Resident
Pathology at the Institute of Pathology, University of Bern, Switzerland Duration: 3.5 years
Doctoral Degree in Human Medicine (Dr. med.)
University of Bern, Switzerland
Doctoral Thesis: Chaperone-mediated Autophagy Markers LAMP2A and HSC70 Are Independent Adverse Prognostic Markers in Primary Resected Squamous Cell Carcinomas of the Lung
Board Certification as a Specialist in Pathology
University of Basel, Switzerland
Board Certification as a Specialist in Cytopathology
University of Bern Switzerland
Attending Pathologist
Institute of Tissue Medicine and Pathology, University of Bern, Switzerland
Duration: ongoing
Invited Speaker
At the 35th European Congress of Pathology in Dublin
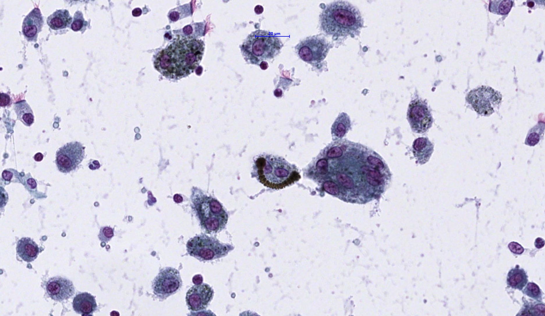
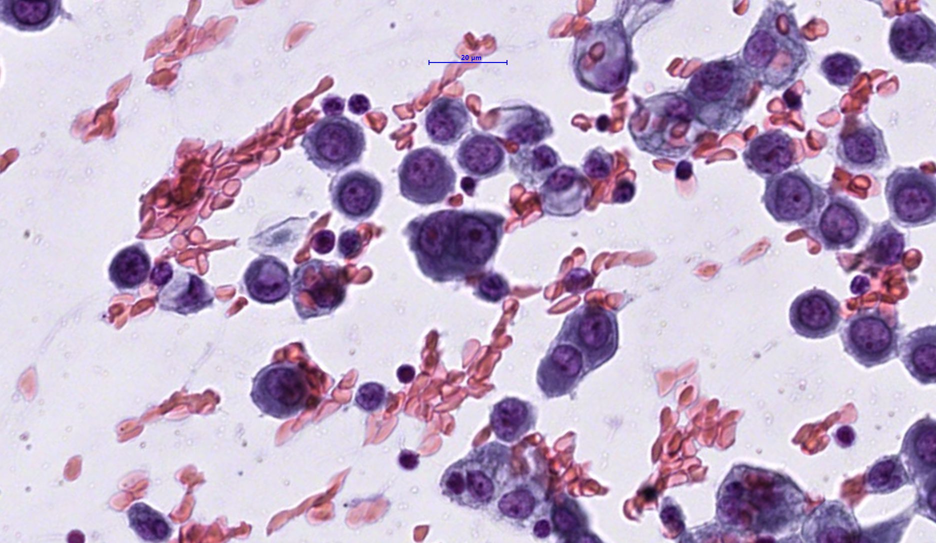
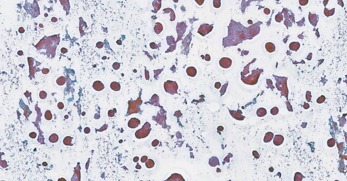
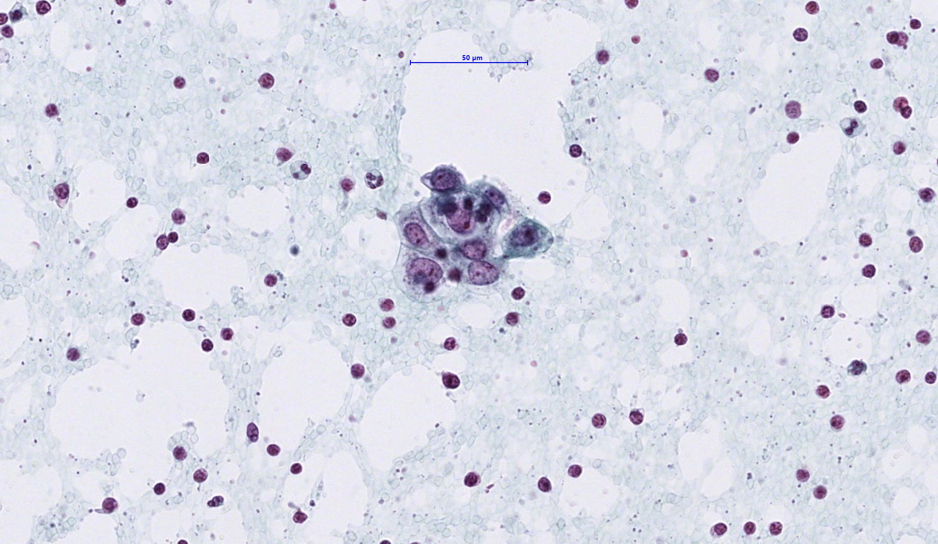
Gallery
Publications
Immunohistochemical Detection of the Chaperone-Mediated Autophagy Markers LAMP2A and HSPA8 in Formalin-Fixed and Paraffin-Embedded Tissues
Chemotherapy increases CDA expression and sensitizes malignant pleural mesothelioma cells to capecitabine treatment
BAP1 Deficiency Inflames the Tumor Immune Microenvironment and Is a Candidate Biomarker for Immunotherapy Response in Malignant Pleural Mesothelioma
Focus

Lung
Anything about the lung

Pathology
Research

Cytology
Love at second sight

AI
Applied to cytology
Recently read
These are some of the articles I recently read that I can recommend. What do you think about them?

Let’s talk about
Pathology
and
Connect!
200+
Connections
Contact info
Address
ITMP, University of Bern
Murtenstrasse 31
3008 Bern, Switzerland
Phone
Follow me